In most cases, tooth loss is not caused by a single major mistake, but rather by the cumulative effect of many small acts of neglect. Skipping brushing here, rushing flossing there, and several months without a dental check-up. And slowly, silently, problems begin to accumulate. That is why oral hygiene is not about perfection, but about consistency. About small decisions that are repeated daily and quietly protect your health, your comfort, your confidence – and yes, your smile.
Good dental care does not have to be complicated. With the right routine, clear priorities, and realistic expectations, you can significantly improve your oral hygiene starting today.
This article covers the following topics:
What is oral hygiene and why is it more important than you think?
Oral hygiene means keeping the oral cavity, teeth, and gums clean and healthy in order to prevent disease. This may sound simple – but its effects extend far beyond attractive teeth.
Inadequate oral hygiene is associated with, among other things, the following conditions:

- Gum diseases (gingivitis and periodontitis)
- Dental caries and tooth infections
- Halitosis (bad breath)
- certain cardiovascular diseases, worsening of diabetes, and some pregnancy-related risks
The mouth is not separate from the rest of the body. It is the gateway. What happens there affects the entire organism.
What does proper care and maintenance really mean?
Proper care does not mean striving for “perfect” teeth. Rather, it means consistently getting three things right in the long term:
- Removal of dental plaque before it mineralises
- Protection of tooth enamel against sustained acid attack
- Maintenance of strong, inflammation-free gums
Maintenance is what prevents yesterday morning’s success from disappearing again. If brushing is the action, then maintenance is the habit. And habits always win.
How do we take proper care of ourselves – starting with the mouth?
Our mouth reflects our overall self-care more strongly than we often realise. Stress, dehydration, an unbalanced diet, smoking, and sleep deprivation – all leave their mark on the teeth and gums.
Optimal oral hygiene is most effective when supported by:
- Reduction of sugar and acidic foods
- Avoidance of frequent snacking
- Smoking cessation
- Stress management (yes, stress also affects the gums)
Teeth do not exist in isolation. They are part of you.
The 3-3-3 rule for teeth – simple, effective, efficient
The 3-3-3 rule is a simple mnemonic for the fundamentals of oral hygiene:
- Brush your teeth at least 2–3 times daily, ideally in the morning and evening.
- Brush for 3 minutes each time.
- Visit your dentist every 3–6 months for a professional check-up.
If you follow this rule consistently, your oral hygiene will improve significantly.
In which order should oral care be performed?
The sequence is more important than most people realise. The most effective routine is as follows:
- Floss first – to remove interdental plaque
- Then brush your teeth – to clean all tooth surfaces
- Finally, use a mouthwash (optional) – to reduce bacteria and freshen the breath
Most professionals agree that flossing before brushing is more effective, as this allows the fluoride in toothpaste to reach the cleaned interdental spaces more efficiently.
What is the perfect oral care routine?
The “perfect” routine is the one you actually follow. An ideal daily schedule looks like this: 
- Daily use of dental floss
- Use of a mild antibacterial mouthwash when needed
- Tongue cleaning
- Drinking water after meals
Once a day is better than occasionally. Perfection is good – consistency is decisive.
How can I improve my oral hygiene starting today?
You do not need new devices to improve your oral hygiene. You need stricter habits. Start here:
- Use a proper brushing timer (most people stop too early)
- Change your toothbrush every 3 months
- Avoid aggressive rinsing after brushing – allow the fluoride to act
- Use dental floss even with bleeding gums (bleeding is a symptom, not a reason to stop)
- Avoid consuming acidic foods and drinks immediately after brushing
Small steps – long-term impact.
What are the five fundamental principles of oral hygiene?
Consider these as the unchangeable foundations:
- Daily plaque removal
- Fluoride protection
- Healthy gums
- Regular professional dental cleaning
- Low sugar intake
If you occasionally neglect one of these principles, your body can usually cope. However, if several are missing over months, the risk of disease increases significantly.
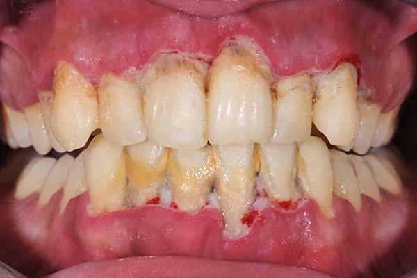
How do I remove brown deposits from my teeth?
Brown discolouration is most commonly caused by:
- Smoking
- Coffee and tea
- Incorrect brushing technique
- Hardened tartar (calculus)
The staining may be a superficial deposit or already mineralised tartar, which cannot be safely removed at home. No toothpaste, baking soda, or TikTok trick will eliminate it completely. Only professional scaling is suitable for this.
What you can do:
- Improve your brushing technique
- Use whitening toothpaste for superficial staining
- Schedule an appointment for professional cleaning
What is truly perfect dental care?
“Perfect” dental care does not mean a flawless state, but a sustainable, consistent long-term system. It means:
- Early detection instead of late treatment
- Firm gums instead of bleeding gums
- Freedom from discomfort instead of persistent hypersensitivity
It is not about chasing perfection, but about preventing problems rather than constantly reacting to them.
The true power of oral hygiene
If you invest five to eight minutes daily in your oral hygiene, the following results will become apparent: 
- Lower dental costs
- Less pain and fewer emergency treatments
- Improved breath
- Healthier gums
- Greater confidence when smiling and speaking
No subscription. No trend. No quick fixes. Just daily protection for something you will use for a lifetime.
Oral hygiene is not a competition. Nobody judges your routine. But your body responds to it – silently and continuously. Maintaining oral health is an essential part of overall health, but it does not replace a fully healthy lifestyle. Read more about the consequences of missing teeth.